WELCOME TO MY PLATFORM
Specialized Orthopedic Care for Complex Fractures
Welcome to my platform, where expert knowledge and decades of experience meets your bone and joints health needs.
Expertise
-

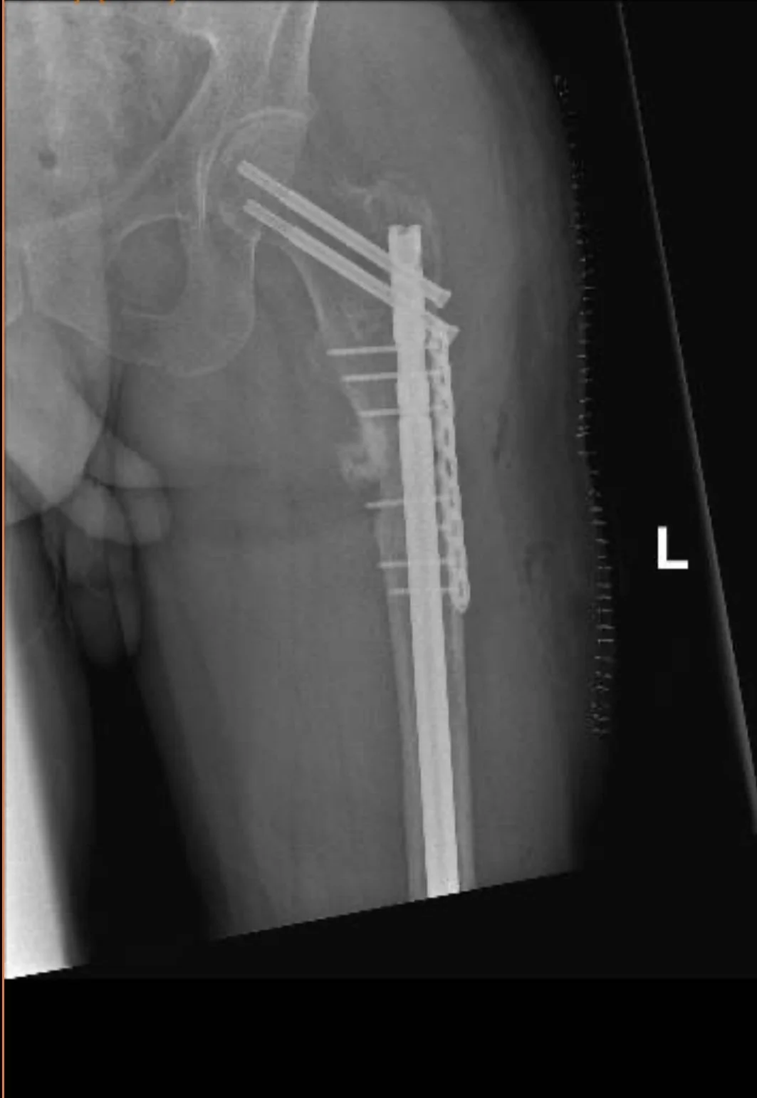
Fracture that did not heal
Fractures that fail to heal (non-unions) or heal improperly (malunions) can cause pain and limit mobility. I specialize in advanced techniques to restore proper alignment and healing.
-

Fractures of the pelvis or hip socket
Pelvic and acetabular injuries require precision and expertise. My approach ensures optimal outcomes, even in the most complex cases.
-

Revision surgery for failed fracture fixation
If a previous surgery didn’t achieve the desired result, I offer second opinions and surgical solutions to help you recover and regain function.
Meet Cyril Mauffrey MD, FACS, FRCS, “Dedicated to Helping You Heal.”
I have devoted my career to helping patients recover from complex orthopedic conditions, especially those with fractures that did not heal or healed improperly.
My expertise spans pelvic and acetabular fractures, hip replacements, and revision surgeries related to fracture care.
I am honored to have over 250 peer-reviewed publications and seven authored books that contribute to the advancement of orthopedic surgery. As a teacher and mentor, I travel worldwide, sharing my knowledge with other surgeons. I am committed to bringing that same level of excellence to your care.
Mission Statement:
My mission is to ensure every patient feels heard, understood, and confident in their treatment journey. When you’re facing challenges from previous surgeries, I’m here to provide answers and solutions.
Contact me
Interested in scheduling a consultation, please send me a message to be seen in my clinic at Denver Health Medical Center.